Book Your Appointment
New Patient
Existing Patient
Full Name *
Mobile *
+971
Search
    Email *
    Treatment *
    Other treatment? Please specify. *
    Preferred Date
    Preferred Time
    Preferred Center *
    Upload your Insurance Emirates ID (optional)
    Browse Files No file chosen
    Insurance Details & Notes
    utm_source
    utm_medium
    utm_campaign
    utm_id
    Referrer URL
    Send an Enquiry
    Full Name *
    Mobile *
    +971
    Search
      Email *
      Enquiry Type *
      Document Type *
      EID Front *
      Browse Files No file chosen
      EID Back *
      Browse Files No file chosen
      Insurance Front *
      Browse Files No file chosen
      Insurance Back *
      Browse Files No file chosen
      Passport *
      Browse Files No file chosen
      Document to request *
      Center *
      Enquiry *
      Referrer URL
      utm_source
      utm_medium
      utm_campaign
      utm_id
      Myobrace Dubai

      Myobrace® for Kids

      Straighten your child's teeth the natural way.

      Myobrace is a pre-orthodontic treatment designed for children aged 3 to 15. This gentle system addresses the root causes of crooked teeth, often eliminating the need for braces or extraction. It involves using a series of removable appliances worn for one to two hours each day plus overnight while sleeping.

      Benefits of Myobrace

      Myobrace
      Myobrace

      Myobrace works by helping children develop better oral habits that promote natural jaw and facial development. It encourages them to:

      Myobrace

      A practical approach

      Myobrace takes a revolutionary yet pratical approach to achieving a healthy smile. It tackles the root cause of crooked teeth –– poor oral habits, such as mouthbreathing, tongue thrusting, reverse swallowing, and thumb sucking. These are evident before all of your child’s permanent teeth are present, which means treatment can begin as early as age three.

      The natural way

      It works by guiding children to develop healthy habits like nasal breathing, proper tongue posture, and correct swallowing. Additionally, Myobrace gently widens your little ones’ jaws as they grow, ensuring there's enough space for teeth to erupt and align naturally. This often eliminates the need for traditional braces and allows teeth to achieve a straighter position through natural development.

      Myobrace

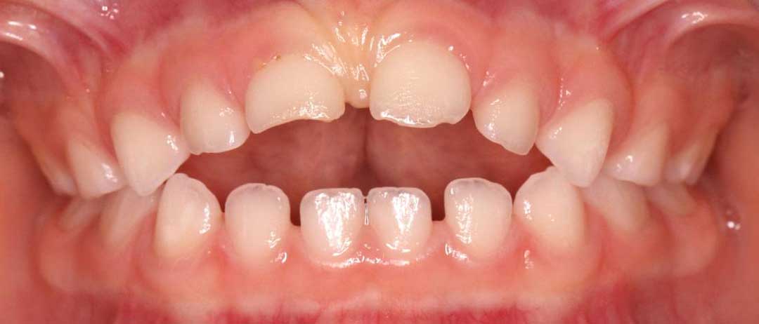
      Proven Myobrace Results

      Before Myobrace treatment
      Before
      After Myobrace Treatment
      After Myobrace
      Before Myobrace treatment
      Before
      After Myobrace Treatment
      After Myobrace

      Treatment Stages of Myobrace

      Habit Correction

      The first stage of Myobrace focuses on correcting harmful oral habits such as mouth breathing, thumb sucking, and improper swallowing. During this stage, children learn to breathe through their nose instead of their mouth, retrain their tongue to rest in the correct position, and adopt proper swallowing techniques. They are also taught to keep their lips together when not eating or speaking. By addressing these habits early, the Myobrace system lays the groundwork for better oral and facial development, which will support the success of later stages in the treatment plan.

      Arch Development

      In this stage, the focus is on developing the dental arch to create enough space for the teeth and tongue, which is essential for proper oral function. For children over seven years old with underdeveloped jaws, additional appliances can be used alongside Myobrace to aid in jaw expansion and accelerate the overall treatment process. For younger children, the Myolay™ appliance can be used in combination with Myobrace to promote jaw development.

      Dental Alignment

      During the alignment phase, the Myobrace for Teens appliance is used as the permanent teeth begin to erupt, guiding them into their natural positions. The effectiveness of this stage relies heavily on your teen’s compliance, as the appliance must be worn daily and overnight while sleeping. Consistent use is key to achieving optimal results, and patient cooperation plays a significant role.

      Retention

      The final stage of your child’s of Myobrace treatment focuses on maintaining the results achieved during treatment. Retainers are used to ensure that the teeth and arches remain in their new, ideal positions, preserving the improvements for long-term success.

      Myobrace FAQs

      Myobrace treatment can begin as early as age 3, making it one of the earliest orthodontic interventions available. The ideal window is between 3 and 15 years, while the jaws are still actively growing. Starting earlier generally means the appliance works with your child's natural development, which can lead to better long-term results. That said, children at different stages will benefit differently — your orthodontist will assess the right time based on your child's jaw development and oral habits.

      For many children, yes. By addressing the underlying causes of crooked teeth early — poor oral habits and underdeveloped jaws — Myobrace can reduce the complexity of any orthodontic treatment needed later, and in some cases may mean braces are not required at all. That said, every child's dental development is different. Some may still benefit from braces further down the line, and your orthodontist will give you an honest picture of what to expect after assessing your child.

      Treatment duration varies depending on your child's age, the habits being corrected, and how consistently they wear the appliance. Most children use Myobrace for one to two hours during the day, plus overnight while sleeping. Treatment typically progresses through four stages — habit correction, arch development, dental alignment, and retention — and can span anywhere from one to several years. Your orthodontist will set a timeline based on your child's progress at each stage.

      Myobrace appliances are soft, flexible, and removable — most children find them comfortable to wear. Some experience mild pressure when they first begin, which typically settles within a few days. Because the system works gradually with the jaw's natural growth, it is generally well tolerated by children across a wide age range.

      Myobrace targets the oral habits that contribute to crooked teeth and jaw development problems. These include mouth breathing, tongue thrusting, reverse swallowing, and thumb sucking. Left uncorrected, these habits can interfere with how the jaws grow and how permanent teeth come through. The Myobrace system combines the appliance with activity-based exercises to help children build healthier habits over time.

      Myobrace and Invisalign First serve different purposes and are often used at different stages of a child's development. Myobrace focuses on correcting the habits and jaw development issues that can cause teeth to grow in crooked — typically used from age 3 upwards. Invisalign First, by contrast, is designed for children whose permanent teeth have already started coming through, and works by guiding existing teeth into better positions. The two treatments are not in competition; in some cases, early Myobrace treatment can make any later orthodontic work — whether Invisalign or braces — simpler and more straightforward.

      The standard recommendation is one to two hours during the day, plus overnight while sleeping. Because the appliance is removable, children can take it out for eating, drinking, and sport. Consistency is the single most important factor in achieving good results — the more reliably your child wears the appliance, the more effectively it works.

      Yes. Our orthodontic team will assess your child at an initial consultation and guide you through whether Myobrace is the right fit. To book, call 04 394 7777 or use the appointment form on this page.