Book Your Appointment
New Patient
Existing Patient
Full Name *
Mobile *
+971
Search
    Email *
    Treatment *
    Other treatment? Please specify. *
    Preferred Date
    Preferred Time
    Preferred Center *
    Upload your Insurance Emirates ID (optional)
    Browse Files No file chosen
    Insurance Details & Notes
    utm_source
    utm_medium
    utm_campaign
    utm_id
    Referrer URL
    Send an Enquiry
    Full Name *
    Mobile *
    +971
    Search
      Email *
      Enquiry Type *
      Document Type *
      EID Front *
      Browse Files No file chosen
      EID Back *
      Browse Files No file chosen
      Insurance Front *
      Browse Files No file chosen
      Insurance Back *
      Browse Files No file chosen
      Passport *
      Browse Files No file chosen
      Document to request *
      Center *
      Enquiry *
      Referrer URL
      utm_source
      utm_medium
      utm_campaign
      utm_id
      Book your appointment
      New Patient
      Existing Patient
      Full Name *
      Mobile *
      +971
      Search
        Email *
        Treatment *
        Other treatment? Please specify. *
        Preferred Date
        Preferred Time
        Preferred Center *
        Upload your Insurance Emirates ID (optional)
        Browse Files No file chosen
        Insurance Details & Notes
        utm_source
        utm_medium
        utm_campaign
        utm_id
        Referrer URL

        Hollywood Smile

        Experience the ultimate smile makeover.

        Hollywood Smile Makeover in Dubai
        Hollywood Smile Makeover in Dubai
        What is a

        Hollywood Smile Makeover

        A Hollywood Smile Makeover is a customized combination of cosmetic and restorative dental treatments designed to transform your smile’s appearance — from tooth color and shape to alignment and symmetry.

        Book your appointment
        New Patient
        Existing Patient
        Full Name *
        Mobile *
        +971
        Search
          Email *
          Treatment *
          Other treatment? Please specify. *
          Preferred Date
          Preferred Time
          Preferred Center *
          Upload your Insurance Emirates ID (optional)
          Browse Files No file chosen
          Insurance Details & Notes
          utm_source
          utm_medium
          utm_campaign
          utm_id
          Referrer URL
          Personalized

          Smile Design Process

          Hollywood Smile

          Smile Transformations

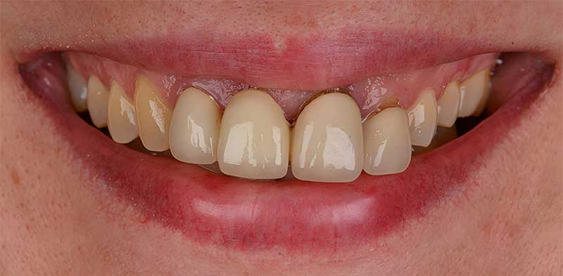
          Hollywood Smile Makeover

          Before Hollywood Smile Makeover
          Before
          After Hollywood Smile Makeover
          Hollywood Smile by Dr. Mayaf
          Before Hollywood Smile Makeover
          Before
          After Hollywood Smile Makeover
          Hollywood Smile by Dr. Mayaf
          Before Hollywood Smile Makeover
          Before
          After Hollywood Smile Makeover
          Hollywood Smile by Dr. Mayaf
          Before Hollywood Smile Makeover
          Before
          After Hollywood Smile Makeover
          Hollywood Smile by Dr. Mayaf
          Hollywood Smile Treatment

          Treatments Included in a Hollywood Smile Makeover

          A Hollywood Smile at Drs. Nicolas & Asp Centers may include:

          Your dentist will tailor the combination to your needs — whether subtle refinement or full transformation.

          Who is the best candidate for a Hollywood Smile?

          The ideal candidate for a Hollywood Smile Makeover is someone who desires a dramatic improvement in the appearance of their smile and is generally in good oral health. Specific characteristics of an ideal candidate include:

          Candidates should have healthy teeth and gums, free from active decay, gum disease, or other oral health issues.
          Individuals looking to address discoloration or stains that can't be fixed with whitening treatments.
          Those seeking a more uniform smile, with teeth that may be chipped, cracked, or misaligned.
          People who wish to close gaps between their teeth and achieve a more cohesive appearance.
          Those who want to enhance their facial aesthetics with a tailored, beautiful smile that complements their features.
          A willingness to maintain good oral hygiene and follow the necessary post-treatment care guidelines.
          Book your appointment
          New Patient
          Existing Patient
          Full Name *
          Mobile *
          +971
          Search
            Email *
            Treatment *
            Other treatment? Please specify. *
            Preferred Date
            Preferred Time
            Preferred Center *
            Upload your Insurance Emirates ID (optional)
            Browse Files No file chosen
            Insurance Details & Notes
            utm_source
            utm_medium
            utm_campaign
            utm_id
            Referrer URL

            Smile Transformations

            Hollywood Smile Makeover

            Before After Hollywood Smile
            Before After Hollywood Smile
            Before After Hollywood Smile
            Before After Hollywood Smile
            Before After Hollywood Smile
            Before After Hollywood Smile
            Before After Hollywood Smile
            Before After Hollywood Smile
            Before After Hollywood Smile
            Before After Hollywood Smile
            Before After Hollywood Smile
            Before After Hollywood Smile
            Before After Hollywood Smile
            Before After Hollywood Smile
            Before After Hollywood Smile
            Before After Hollywood Smile
            Before
            Before After Hollywood Smile
            Before After Hollywood Smile
            Before After Hollywood Smile
            Before After Hollywood Smile
            Before After Hollywood Smile
            Before After Hollywood Smile
            Before After Hollywood Smile
            Hollywood Smile Dental Center

            Comprehensive Expertise Under One Roof

            Cosmetic dentists, prosthodontists, orthodontists, and oral surgeons working together.

            Digital Precision

            Advanced 3D scanning, intraoral cameras, and smile-simulation software, and a fully-digital in-house dental lab.

            Premium Materials

            Ultra-thin porcelain and zirconia veneers designed for durability and lifelike translucency.

            Patient-centered Philosophy

            Every decision is made with your comfort, health, and confidence in mind.

            How Long Does Smile Makeover Take?

            Depending on your treatment plan, a Hollywood Smile can be completed in as little as two to three visits, or over several weeks if orthodontic treatment is included. Our in-house dental laboratory ensures efficient workflows and meticulous craftsmanship at every step.

            Book your appointment
            New Patient
            Existing Patient
            Full Name *
            Mobile *
            +971
            Search
              Email *
              Treatment *
              Other treatment? Please specify. *
              Preferred Date
              Preferred Time
              Preferred Center *
              Upload your Insurance Emirates ID (optional)
              Browse Files No file chosen
              Insurance Details & Notes
              utm_source
              utm_medium
              utm_campaign
              utm_id
              Referrer URL
              Hollywood Smile Makeover FAQs

              Hollywood Smile Makeover FAQs

              A smile makeover is a combination of cosmetic dental procedures that can improve the appearance and harmony of your teeth, gums, and lips. Depending on your goals, we may recommend veneers, crowns, composite bonding, teeth whitening, gummy smile procedures, and orthodontic treatments.

              The goal of a smile makeover is to improve the aesthetics of your smile through one or more procedures. This means that patients both young and old, and who are in good health, can benefit from getting a smile makeover. Whether you’re in your 20s, 50s, or beyond, it is never too late to get your dream smile.

              Depending on your treatment, your smile makeover is a long-term solution that can last for many years.

              Dental restorations such as crowns, veneers, and fillings are meant to last a lifetime with proper and regular care and maintenance. The results of teeth whitening can last for years but may require occasional touch-ups. If you've undergone orthodontic work, wearing your retainers as prescribed will help keep your teeth in their ideal position.

              Like your natural teeth, your new smile is not immune to wear and tear and will require regular upkeep.

              No. Smile makeovers cause minimal discomfort and there are pain management techniques available at the dentist to ensure you have a relaxed experience.

              A smile makeover is a transformative experience. Before you commit to any treatment, do your research. Book a consultation with a reputable smile makeover specialist and explore all your options. Do not hesitate to ask for your dentist’s previous smile makeover works. Be sure to communicate your preferences and dislikes, and discuss the possibility of a “trial smile” using mock-ups or 3D imaging to visualize your potential results.

              Good oral hygiene, regular dental check-ups, and professional cleanings will help maintain your new smile for years to come. Your dentist will examine the natural wear and tear of your teeth and offer treatments or touch-ups if necessary. Avoid using your teeth as tools, and use nightguards and retainers as prescribed.

              Digital Smile Design in Dubai

              Digital Smile Design

              See your smile before it starts.

              We use Digital Smile Design (DSD) — an advanced cosmetic dentistry system that combines digital imaging, photography, and 3D technology to create a personalized blueprint for your smile.

              Unlike traditional methods, DSD takes into account your facial features, proportions, and even personality, ensuring your new smile looks natural, balanced, and truly yours.

              This digital approach allows you to preview and collaborate with your dentist — making adjustments to shape, color, and alignment — before any treatment begins, so you can feel confident in every detail of your transformation.