Book Your Appointment
New Patient
Existing Patient
Full Name *
Mobile *
+971
Search
    Email *
    Treatment *
    Other treatment? Please specify. *
    Preferred Date
    Preferred Time
    Preferred Center *
    Upload your Insurance Emirates ID (optional)
    Browse Files No file chosen
    Insurance Details & Notes
    utm_source
    utm_medium
    utm_campaign
    utm_id
    Referrer URL
    Send an Enquiry
    Full Name *
    Mobile *
    +971
    Search
      Email *
      Enquiry Type *
      Document Type *
      EID Front *
      Browse Files No file chosen
      EID Back *
      Browse Files No file chosen
      Insurance Front *
      Browse Files No file chosen
      Insurance Back *
      Browse Files No file chosen
      Passport *
      Browse Files No file chosen
      Document to request *
      Center *
      Enquiry *
      Referrer URL
      utm_source
      utm_medium
      utm_campaign
      utm_id
      Dr. Da Yeon Park

      Dr. Da Yeon Park

      Dr. Da Yeon is a highly skilled Specialist Orthodontist with over 8 years of experience in Hungary and the UAE.

      She pursued undergraduate studies in Human Biology and Chemistry at the University of Toronto, Canada, and obtained her DMD and Master's degree from the University of Pecs, Hungary.

      She furthered her expertise through specialized training, completing her 3-year orthodontics residency at the University of Szeged, Hungary, from 2017 to 2020.

      She is a member of the Hungarian Dental Council, Hungarian Orthodontics Council, and Korean International Dentist Association.

      She speaks English, Korean, and basic Hungarian.

      Orthodontic Treatments

      by Dr. Da Yeon Park

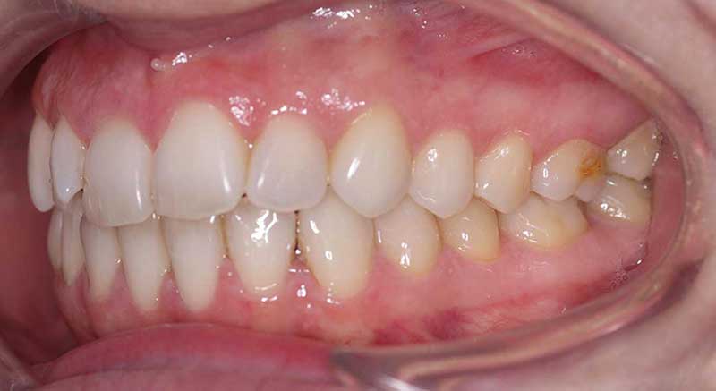
      Main Concern

      Anterior crossbite, severe crowding and aplasia of lateral incisor (UL2)

      Treatment

      U+L fixed appliance and substitution of UL3 for UL2

      Final

      Duration = 20 months

      Main Concern

      Anterior crossbite, severe crowding and aplasia of lateral incisor (UL2)

      Treatment

      U+L fixed appliance and substitution of UL3 for UL2

      Final

      Duration = 20 months

      Main Concern

      Anterior crossbite, severe crowding and aplasia of lateral incisor (UL2)

      Treatment

      U+L fixed appliance and substitution of UL3 for UL2

      Final

      Duration = 20 months

      Main Concern

      Anterior crossbite, severe crowding and aplasia of lateral incisor (UL2)

      Treatment

      U+L fixed appliance and substitution of UL3 for UL2

      Final

      Duration = 20 months

      Main Concern

      Anterior crossbite, severe crowding and aplasia of lateral incisor (UL2)

      Treatment

      U+L fixed appliance and substitution of UL3 for UL2

      Final

      Duration = 20 months

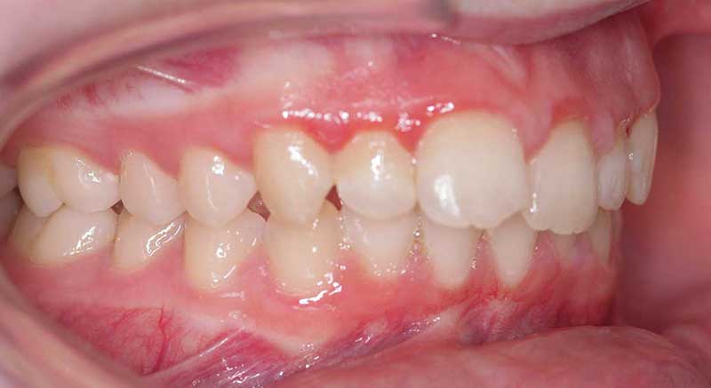
      Main Concern

      Class II malocclusion

      Treatment

      U+L fixed appliance, ceramic on frontal, metallic on posterior

      Final

      Duration = 14 months

      Main Concern

      Class II malocclusion

      Treatment

      U+L fixed appliance, ceramic on frontal, metallic on posterior

      Final

      Duration = 14 months

      Main Concern

      Class II malocclusion

      Treatment

      U+L fixed appliance, ceramic on frontal, metallic on posterior

      Final

      Duration = 14 months

      Main Concern

      Class II malocclusion

      Treatment

      U+L fixed appliance, ceramic on frontal, metallic on posterior

      Final

      Duration = 14 months

      Main Concern

      Class II malocclusion

      Treatment

      U+L fixed appliance, ceramic on frontal, metallic on posterior

      Final

      Duration = 14 months

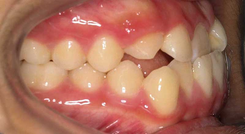
      Main Concern

      Upper diastema

      Treatment

      Eon Aligner plus package, frenectomy with Dr. Kaizad
      Duration = 7 months

      Main Concern

      Upper diastema

      Treatment

      Eon Aligner plus package, frenectomy with Dr. Kaizad
      Duration = 7 months

      Main Concern

      Upper diastema

      Treatment

      Eon Aligner plus package, frenectomy with Dr. Kaizad
      Duration = 7 months

      Main Concern

      Upper diastema

      Treatment

      Eon Aligner plus package, frenectomy with Dr. Kaizad
      Duration = 7 months

      Main Concern

      Upper diastema

      Treatment

      Eon Aligner plus package, frenectomy with Dr. Kaizad
      Duration = 7 months

      Main Concern

      Upper relapse

      Treatment

      Eon plus package upper jaw only
      Duration = 6 months

      Main Concern

      Upper relapse

      Treatment

      Eon plus package upper jaw only
      Duration = 6 months

      Main Concern

      Upper relapse

      Treatment

      Eon plus package upper jaw only
      Duration = 6 months

      Main Concern

      Upper relapse

      Treatment

      Eon plus package upper jaw only
      Duration = 6 months