Your smile deserves expert care—and at Drs. Nicolas & Asp Centers, we make it easier than ever to begin your journey. Book your complimentary consultation with our leading cosmetic dentists in Dubai and discover how personalized, high-quality treatments can transform your smile, boost your confidence, and enhance your natural beauty.

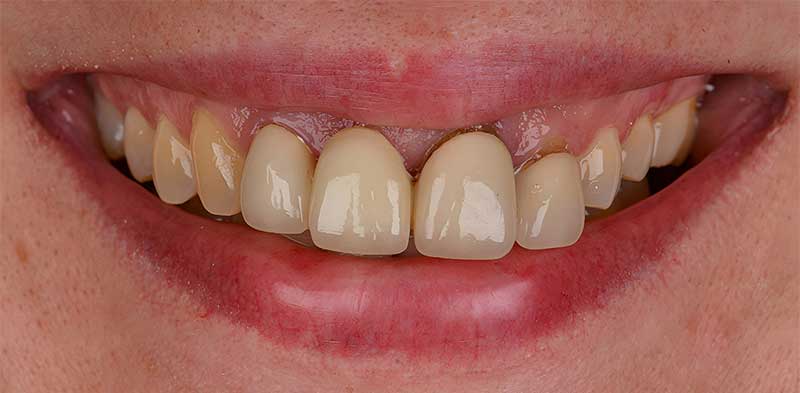
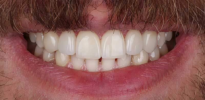
You don’t need to live with a smile that doesn’t make you feel happy or confident. Consult a cosmetic dentist if you:
At Drs. Nicolas & Asp, we see you as more than just a patient—you’re part of our family. With over 30 years of experience, we’ve built a reputation as Dubai’s most trusted name in dental care, delivering exceptional results with a personal touch.
Ready to transform your smile? Contact us today to schedule a consultation with one of our experienced cosmetic dentists. Together, we’ll explore your goals and craft a customized treatment plan to create the smile you’ve always dreamed of.
With Tabby, split your payments in 4 interest-free installments. Call us today to learn more.